The Core of Amirang Cancer Treatment

What Makes Amirang Different

Amirang Clinic practices compassionate medicine centered on the lives of our patients,
from diagnosis to treatment and recovery.

Cancer is not the end if you don’t give up

Proper Cancer Treatment
Based on Continuous Research

Unlike normal cells, cancer cells have constantly mutated DNA
and keep dividing, making it difficult to overcome cancer
through simple immunotherapy alone.
Therefore, it is crucial to establish the right treatment direction based on proven methods and consistent research. Amirang Clinic does not rely on short-term treatments,
but stands by our patients through the long battle
against cancer until the very end.

The First Reason Amirang is Special

Extensive Cancer Treatment
Equipment Infrastructure

Amirang Clinic is equipped with 22 radiofrequency hyperthermia machines and 3 hyperbaric oxygen chambers, along with a variety of advanced medical devices.
This robust infrastructure allows patients to receive stable and intensive treatment without unnecessary waiting.

Radiofrequency Hyperthermia Machine
Total of 22 Units
Radiofrequency Hyperthermia

Raises body temperature to boost immunity
and selectively destroys cancer cells sensitive to heat.

Hyperbaric Oxygen Chamber
Total of 3 Units
Hyperbaric Oxygen Therapy

Delivers concentrated oxygen deep into the body,
promoting tissue regeneration and aiding recovery after cancer treatment.

The Second Reason Amirang is Special

Personalized Integrated Treatment Methods

Amirang Clinic combines various therapies such as radiofrequency hyperthermia, hyperbaric oxygen therapy,
and immunotherapy
to provide the most suitable treatment
for each patient’s condition.
Through a personalized and holistic approach, we maximize treatment effectiveness and protect the quality of life.

Radiofrequency Hyperthermia
View More
Hyperbaric Oxygen Therapy
View More
High-Dose Vitamin C Therapy
View More
Stem Cell Therapy
View More
The Third Reason Amirang is Special

Trust Proven by Numerous Successful Cases

Even in moments when recovery seemed impossible, those who refused to give up proved that change is possible.
Amirang shares the stories of patients who
returned to their daily lives after treatment.

View More
Before Treatment - 2024.1.30
1 Month After Treatment - 2024.5.21
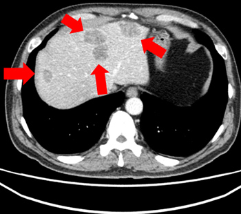
Abdominal CT - 2023.2.2
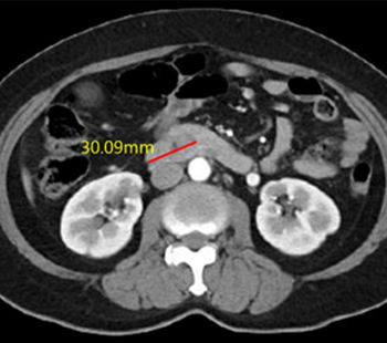
Abdominal CT - 2025.3.14
CT - 2025.1.16
CT - 2025.4.9
Diagnosed with Stage 4 Poorly Differentiated Pancreatic Adenocarcinoma
Chemotherapy & Radiofrequency Hyperthermia Performed
Diagnosed with Stage 4 Liver Cancer with Lung Metastasis
10 Days of Intensive Radiofrequency Hyperthermia
Stage 4 Intrahepatic Cholangiocarcinoma
60 Days of Intensive Radiofrequency Hyperthermia
PI-RADS 5 Diagnosis, Pre-Biopsy Treatment
20 Days of Intensive Radiofrequency Hyperthermia
  • Amirang Clinic
  • 4, Gyeongsudaero 1044beon-gil, Jangan-gu, Suwon-si, Gyeonggi-do
  • Representative: Kim Sun Man
  • Business Registration No.: 696-14-01942
  • Tel: 1670-8898
  • Email: amirangclinic@naver.com
COPYRIGHT © AMIRANG CLINIC. ALL RIGHTS RESERVED.